 |
 |
 |
Health & Beauty | June 2005  
Grisly Effect of One Drug: 'Meth Mouth'
Monica Davey - NYTimes


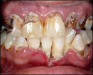
| Like a growing number of other dentists, Dr. Richard Stein says he is coming across many cases of "meth mouth," the ravaging of teeth and gums among users of methamphetamine. (Photo: Larry W. Smith/NYTimes)

 | From the moment on Thursday when the young man sat down in Dr. Richard Stein's dental chair in southwestern Kansas and opened his mouth, Dr. Stein was certain he recognized the enemy. This had to be the work, he concluded, of methamphetamine, a drug that is leaving its mark, especially in the rural regions of the Midwest and the South, on families, crime rates, economies, legislatures - and teeth.
 Quite distinct from the oral damage done by other drugs, sugar and smoking, methamphetamine seems to be taking a unique, and horrific, toll inside its users' mouths. In short stretches of time, sometimes just months, a perfectly healthy set of teeth can turn a grayish-brown, twist and begin to fall out, and take on a peculiar texture less like that of hard enamel and more like that of a piece of ripened fruit.
 The condition, known to some as meth mouth, has been studied little in dentistry's academic circles and is unknown to many dentists, whose patients are increasingly focused on cosmetic issues: the bleaching and perfect veneers of television's makeover shows. But other dentists, especially those in the open, empty swaths of land where methamphetamine is being manufactured in homemade laboratories, say they are seeing a growing number of such cases.
 These are the same towns, in some cases, that have wrestled in recent years with shortages of dentists. They are places where dentists have struggled to sell their practices as populations shrink; where new dentists have been reluctant to settle, out of fear that they will not get enough business to make ends meet; and where political leaders have offered financial incentives to lure young dentists to town. For good or ill, meth mouth is creating more business.
 East of Dr. Stein's Dodge City office, in Independence, Kan., Dr. Cynthia E. Sherwood said she too had seen such patients lately, including a woman whose teeth had been transformed into "little black stubs" too painful to brush and who wound up losing all her top teeth and six of her lower ones. Among similar patients Dr. Charles Tatlock has seen in his New Mexico office, he said, was one who, though only 17, needed dentures to replace his suddenly decayed teeth.
 And in Tennessee, Dr. Daniel D. Roberts gave up his ordinary practice not long ago to handle a growing workload at 10 jails across the state, nearly a third of whose prisoners, he estimates, have ravaged teeth owing to methamphetamine.
 "This is the worst thing to come along in a long time," Dr. Roberts said the other day. "At this point, I'm digging for roots. That's how I make my living."
 Some dentists have their own hypotheses about precisely what causes the condition.
 Dr. John W. Shaner, an associate professor at the Creighton University Medical Center School of Dentistry, in Omaha, said he believed that a combination of factors tied to the use of methamphetamine led to such enormous damage.
 The drug itself, a synthetic stimulant that can be manufactured just about anywhere, causes dry mouth, Dr. Shaner said, and that in turn allows decay to start, since saliva is unavailable to help control bacteria in the mouth. The drug also tends to leave users thirsty and craving a constant supply of soda pop and other sugary drinks, which spur the decay; Mountain Dew, he said, has become the preferred drink of methamphetamine users. At the same time, the drug's highly addictive nature causes many users simply to stop doing what is needed to take care of themselves, including the brushing of teeth.
 Other dentists said they suspected that the caustic ingredients of the drug - whether smoked, injected, snorted or eaten - contributed to the damage, which tends to start near the gums and wander to the edges of teeth. Among ingredients that can be used to make meth are red phosphorus found in the strips on boxes of matches and lithium from car batteries.
 There are also dentists who point to methamphetamine users' tendency to grind and clench their teeth nervously, aggravating the frighteningly twisted and tangled look of meth mouth.
 If the man sitting in Dr. Stein's Kansas office on Thursday, who readily admitted having used methamphetamine, gets all the work done that he needs - X-rays, fillings and crowns, and implants for the teeth now missing from his mouth - he will require many visits, and the bill could run to as much as $7,000.
 Most dentists, though, say this is hardly the growth industry any of them would wish for. The patients are grim, their teeth grimmer. Many of these young people, the dentists say, may end up with no teeth at all but with dentures, which some in dentistry had come to believe would soon be mostly relics of the past, even for the elderly, in an age of water fluoridation and other technology.
 "The real market for dentistry is in saving teeth, in helping people have dental health," said Dr. Stein, 57. "But I've seen a lot. I'm not a drug counselor, and I'm long past lecturing, but this is a sorry situation."
 Dr. Shaner said meth mouth might be little recognized in many places - even as the drug has spread from one coast to the other and from rural areas into cities - because methamphetamine is a problem that has had a chance to sink in longer in places like Nebraska, Iowa and Missouri and because the effects to teeth are often most obvious in pockets like prison populations. He said he hoped to present information on the topic at a conference of the American Dental Association next year.
 With the exception of a few formal studies, including one now beginning in New Mexico, meth mouth has so far been less a topic of academic analysis in the dental profession than a matter for casual phone conversations and e-mail exchanges between dentists in small places.
 "The truth is, very little is known yet," said Dr. Stephen Wagner, who specializes in dentures and implants in his private practice and who in coming months will be studying 20 afflicted patients with Dr. Tatlock, an assistant professor at the University of New Mexico. "What I can tell you is what I have seen: It looks like someone has taken a hammer to these teeth and shattered them."
 One of the strangest truths of the condition, dentists said, is that despite the truly grisly look, many patients do not report suffering from as much pain as one would expect. Or at least, these dentists said, they do not report such pain while still using methamphetamine.
 Though the condition has begun turning up in private practices, particularly in cases of emergency care and among recovering addicts, it is far more prevalent in the dental offices of the nation's jails and prisons.
 Local sheriffs in Midwestern and Southern counties have complained of soaring dental costs in their jails. In North Dakota, more dentures have been needed in the state penitentiary in the last few years, a development that officials attribute at least in part to methamphetamine. In North Carolina, dental workers in the Department of Correction learned about meth mouth during a training session this month; starting in July, new prisoners there will be screened for signs of dental problems connected to the drug.
 In Minnesota's state corrections system, meanwhile, dentists' workloads are so full of gruesome methamphetamine-related matters that they are strained to get to other, less urgent cases: the routine cleanings and fillings of years past.
 "All of our time is getting eaten up," said Dr. Stephen Boesch, a dentist who works at a Minnesota prison and who said he had begun to see the problem in a juvenile corrections center as well. "We're seeing this week in and week out."
 Some dentists said they would never ask their patients about drug use; that is not their place, they said. Others said they would ask, but could not force the issue.
 "That's the thing: you can't beat a confession from someone," said Dr. Eric Curtis, who shares a practice with his father in Safford, Ariz., and began seeing meth mouth four years ago.
 "I suspect that many dentists are out there seeing this but don't know what they're seeing," said Dr. Curtis, a spokesman for the Academy of General Dentistry. "And most of them aren't going to know for sure."
 The new business, he said, is actually a gloomy one for dentists in rural places like Safford.
 "What dentists really make the money on is the happy stuff: the low-impact work with beautiful results," he said. "Nobody is happy when you pull a bunch of teeth and put in dentures." | 
 | |
 |